Your teeth may be the part of your smile that everyone notices, but believe it or not, your gums are just as important. Without your gum tissue, there would be no foundation for your pearly whites. Infected gum tissue can not only be incredibly painful, but it can lead to complications down the road that might cause you to lose your teeth. As soon as you notice the symptoms of gum disease (also known as periodontal disease), such as bleeding gums, tenderness, redness, or sensitive teeth, give us a call and let us know so that we can get you scheduled for periodontal therapy in Annapolis. Drs. Gary and Jeremy Goodman will create a customized treatment plan to stop the infection in its tracks before it causes any lasting harm.

With SimplyPerio®, we’re able to proactively detect gum disease in Annapolis before visible damage occurs so we can provide treatment and prevent it from progressing. All we need is a little bit of saliva to get a ton of information about your oral bacteria. In addition to early detection of dental issues, it can also reveal the initial signs of systemic health problems so you can stay ahead of them.

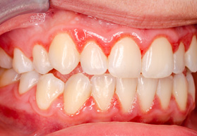
In most cases, a patient only receives gum disease treatment after the infection has already caused problems, including noticeable symptoms like red and swollen gums that bleed easily, chronic bad breath, or even loose teeth. At this point, the bacteria have already spread and advanced, harming the soft and hard oral tissues.
But SimplyPerio® offers gum disease testing in Annapolis that can detect it prior to visible symptoms, which can go a long way in preventing more advanced issues like tooth loss.

If you’ve ever done an at-home DNA test to learn more about your ancestry, then the process will be very familiar.
We take a very small sample of your saliva, and this is sent to a lab for testing. From there, our team receives a report that not only details which oral bacteria are present, but also how much. On top of indicating dental issues, conditions like diabetes, cardiovascular problems, rheumatoid arthritis, and more often show their first signs in the mouth.

Based on your lab readout, we’ll recommend a personalized treatment plan as well as advise if you need to see a different kind of doctor if there are signs of disease beyond your mouth. We may suggest everything from just improving your oral hygiene at home to undergoing scaling and root planing as well as antibiotic treatment.
Looking ahead, we’ll run another SimplyPerio® test every three to six months so we can monitor your progress, make sure treatment is working, and ensure we’re able to find any concerns as soon as possible.

Several factors can contribute to the development of gum disease, such as genetics and lifestyle choices. The most common cause is the accumulation of plaque on the teeth and gumline. Plaque is a sticky biofilm that builds up in your mouth constantly. You can disrupt it on your own with daily brushing and flossing, but if you neglect these habits, plaque can harden into tartar. At that point, it can only be removed by a dental professional.
Tartar is chock full of dangerous bacteria that can irritate your gums, causing them to bleed or become red and tender. In the early stages of gum disease, symptoms are mild, but eventually, the infection reaches the point where you have persistent bad breath, a chronic bad taste in your mouth, or pus forming in your gums. Gum disease may even culminate in your teeth becoming loose or falling out altogether. For this reason, it’s crucial that you report any unusual symptoms to us as soon as possible. Doing so could save your smile!

Fortunately, there are ways to treat periodontal disease before it reaches the point of causing serious damage. Here are the most common and effective ways of dealing with gum disease:
Often used in conjunction with scaling and root planing, antibiotic therapy involves applying a topical medication directly to your infected gums to kill any bacteria that might still remain even after a dental deep cleaning. We may also prescribe an antibiotic in pill form for you to take over a few days, just to eliminate as many bacteria as possible.

Our main goal when treating gum disease is twofold: we want to remove the bacteria causing the infection and give your gums an opportunity to heal and reattach to your teeth. To accomplish this, we perform a scaling and root planing procedure, otherwise known as a dental deep cleaning. To learn more about this procedure, we encourage you to keep reading or call our office to speak to a member of our trusted team.

A thorough consultation with Dr. Gary or Dr. Jeremy Goodman is required to determine if you are eligible for gum disease treatment. Generally, if we see any of the following, there is a good chance you’ll be recommended for scaling and root planing:
Failing to seek timely professional help will only cause these symptoms to worsen. When this happens, the infection can enter the bloodstream and cause significant problems throughout the body, including cardiovascular disease, dementia, Alzheimer's, and even diabetes complications.

Scaling and root planing is a two-step process that must be thoroughly completed by your Annapolis dentist. We will start by using special instruments to scrape off (or scale) built-up plaque and tartar from areas where your toothbrush or floss might not have been able to reach. Then, we’ll smooth (or plane) the teeth’s roots to prevent bacteria from adhering to them in the future while speeding up the recovery process.

You can expect there to be some minor soreness in the days following scaling and root planing; however, an over-the-counter pain reliever and ice pack can minimize discomfort. It’s also possible that you might feel some sensitivity or notice minimal bleeding.
Time is required to allow your gums to fully heal. They must reattach to your teeth so that reinfection does not occur. It is during this time, though, that oral hygiene is crucial. Remembering to brush, floss, and rinse properly will minimize the chances of bacterial accumulation that leads to gum disease. If necessary, our team can recommend a prescription-based mouthwash to help keep bad bacteria at bay while encouraging healing and a healthier smile for life.
After 1-2 weeks, your mouth should begin to feel normal.
The SimplyPerio Saliva Test is a dynamic, non-invasive diagnostic tool that can detect dangerous bacteria and viruses associated with gum disease and other health problems.
The SimplyPerio Saliva Test can provide you and your dentist with comprehensive caries (cavities) risk assessments, as well as detect keystone periodontal and oral-systemic pathogens including bacterial, fungal, and viral, all in one convenient test.
This test can be extremely helpful in identifying microorganisms that could cause or contribute to a variety of oral and systemic health problems, allowing greater opportunity for early intervention and prevention. Studies have shown that oral health and overall systemic health are closely connected, with many medical conditions originating from oral health issues such as periodontal disease and infection. Thus, early detection of oral problems can help stop systemic issues from developing or worsening.
The SimplyPerio Saliva Test has a remarkably high turnaround time. Most patients can expect their results within 24 to 48 hours after their test kit has been received at the laboratory.
The exact number of treatments you’ll need depends on the individual patient, however in many cases it will need to be repeated. Following treatment, your mouth will be monitored by your dentist to ensure your gum disease does not come back. You will need to return for follow-up testing and periodontal check-ups every three to four months to help keep the infection under control. Once it has been successfully managed, you can resume to your normal, six-month preventive exam and cleaning appointments to maintain your healthy smile.
Anyone can benefit from SimplyPerio testing; however, it is highly recommended for patients who fit the following criteria: